Thoái hóa khớp gối: Nguyên nhân, triệu chứng, chẩn đoán và điều trị 

Huyền Đậu
Khớp gối có vị trí nằm ở đầu dưới của xương đùi, đầu trên của xương chày, mặt sau của xương bánh chè, được che phủ bởi sụn khớp. Khi vận động, khớp được trượt trên bề mặt của các sụn. Đây là khớp rất quan trọng, chịu lực tác động của toàn bộ cơ thể và là khớp vận động nhiều nhất so với các khớp khác. Chính vì vậy khi hoạt động quá nhiều, khớp gối rất dễ bị thoái hóa

Vậy thoái hóa khớp gối là gì?

Thoái hóa khớp gối là hiện tượng thoái hóa loạn dưỡng của khớp gối, biểu hiện là sự biến đổi ở bề mặt sụn khớp, sau đó là biến đổi ở bề mặt khớp, hình thành các gai xương, cuối cùng dẫn đến biến dạng khớp gọi là hư khớp.

Trong giai đoạn đầu, dịch trong bao khớp chưa bị ảnh hưởng nhiều nên chưa bị tổn thương nhiều. Khi khớp bị thương tổn nhiều, dịch khớp sẽ càng ngày càng kém, độ ma sát giữa các đầu khớp sẽ tăng lên, mặt sụn khớp gối càng bị hao mòn, dẫn đến hẹp khe khớp ảnh hưởng đến khả năng vận động của khớp gối gây đau, vận động khó khăn.

 

Triệu chứng bệnh Thoái hóa khớp gối

Dấu hiệu thoái hóa khớp gối có thể bao gồm:

  • Đau khớp gối bị thoái hóa với các biểu hiện: đau quanh khớp gối hoặc chỉ đau một vài điểm, lúc đầu đau chỉ xuất hiện nhẹ, nhất là lúc đi lại nhiều, hoặc lúc lên xuống cầu thang hoặc lên dốc, thường xuất hiện vào ban đêm. Đây là biểu hiện đầu tiên của bệnh.
  • Càng về sau, khớp gối có thể bị sưng lên do viêm hoặc do tràn dịch khớp, nếu được chọc hút dịch ra, đau sẽ giảm nhưng có thể tái phát vài ngày sau đó. Khi bệnh trở nên nặng hơn, người bị thoái hóa khớp gối có thể bị cứng khớp, biểu hiện rõ nhất là lúc sáng sớm, lúc vừa ngủ.

    Nguyên nhân bệnh Thoái hóa khớp gối

    Bệnh thoái hóa khớp gối thường xảy ra ở những người lớn tuổi. Nguyên nhân thoái hóa khớp gối chủ yếu do lão hóa bởi tuổi tác, nhất là những người có tiền sử lao động chân tay nặng nhọc, mang vác nhiều, đứng lâu hoặc công việc và béo phì.

  • Cũng có một số trường hợp thoái hóa khớp gối bởi chấn thương khớp như: đứt dây chằng khớp gối, vỡ, nứt lồi cầu dưới xương đùi hoặc xương chày hoặc nứt, vỡ xương bánh chè….
  • Thoái hóa khớp gối có thể do yếu tố thuận lợi của trục chi dưới, bởi bất thường về giải phẫu hoặc do tổn thương ở khớp gối bởi các nguyên nhân do viêm nhiễm.
  • Nguyên nhân do chấn thương xương đùi, xương chậu (vỡ, rạn, nứt, gãy…).

Đối tượng nguy cơ bệnh Thoái hóa khớp gối

Từ nguyên nhân gây bệnh, có thể kể đến các đối tượng có nguy cơ cao bị thoái hóa khớp gối như sau:

  • Tuổi tác: những người lớn tuổi, đặc biệt người già có nguy cơ cao bị thoái hóa khớp gối.
  • Những người lao động chân tay nặng nhọc, mang vác nhiều.
  • Những người béo phì.
  • Những người có tiền sử bị chấn thương khớp như đứt dây chằng khớp gối, vỡ, nứt lồi cầu dưới xương đùi...

Các giai đoạn thoái hóa khớp gối

  • Thoái hóa khớp gối được chia thành 4 giai đoạn theo tiêu chuẩn chẩn đoán thoái hoá khớp của Kellgren và Lawrence. Trong đó giai đoạn 4 là gian đoạn nghiêm trọng nhất.

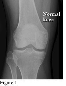
Hình ảnh so sánh giữa khớp bình thường và khớp bị thoái hóa khớp gối

Để phân biệt các giai đoạn của bệnh thoái hóa khớp gối, cần dựa vào phim X- quang theo tiêu chuẩn chẩn đoán thoái hoá khớp của Kellgren và Lawrence như sau:

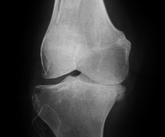
1. Giai đoạn 1: Thoái hóa khớp gối độ 1

Hình ảnh khớp gối trên phim X-quang: Khe khớp gần như bình thường, có thể có gai xương nhỏ.


Thoái hóa khớp gối giai đoạn 1

Ở giai đoạn đầu tiên, khớp gối chưa có dấu hiệu bất thường cho thấy bị thoái hóa khớp gối. Bệnh nhân đi lại bình thường, chưa xuất hiện cơn đau khớp hoặc có thể chỉ đau khớp gối khi đứng lên ngồi xuống, ngồi xổm, lên xuống cầu thang. Khớp gối cũng chưa bị sưng và không biến dạng. Nếu chụp thêm MRI có thể thấy khớp gối gần như bình thường.

2. Giai đoạn 2: Thoái hóa khớp gối độ 2

Hình ảnh của khớp gối trên phim X-quang: Khe khớp hẹp nhẹ, có gai xương nhỏ.


  • Thoái hóa khớp gối giai đoạn 2 vẫn là giai đoạn nhẹ

Giai đoạn 2 vẫn được xem là giai đoạn tiến triển nhẹ, xem trên phim X-quang có thể thấy kích thước bề mặt sụn khớp vẫn chưa có sự thay đổi nhiều. Bao hoạt dịch khớp vẫn hoạt động bình thường, cung cấp đủ dịch khớp để nuôi dưỡng sụn và bôi trơn ổ khớp, giúp các đầu xương hoạt động được trơn tru. Mặc dù vậy, bệnh nhân vẫn có thể xuất hiện một số triệu chứng như đau mỏi ở khớp gối sau khi vận động nhiều hoặc khi làm việc quá sức, làm việc sai tư thế; cứng khớp khi trời lạnh hoặc do ít vận động khớp.

3. Giai đoạn 3: Thoái hóa khớp gối độ 3

Hình ảnh của khớp gối trên phim X-quang: Khe khớp hẹp rõ, nhiều gai xương kích thước vừa, đặc xương dưới sụn, đầu xương có thể bị biến dạng.


  Thoái hóa khớp gối tiến triển đến giai đoạn 3

Thoái hóa khớp gối tiến triển đến giai đoạn 3 thì bệnh nhân sẽ càng cảm nhận rõ những cơn đau tại khớp gối. Các lớp sụn khớp bao bọc các đầu xương bị bào mòn nhiều và khoảng không gian giữa các đầu xương bị thu hẹp thấy rõ. Khả năng đi bộ của người bệnh giảm, đi, đứng, ngồi xổm, lên xuống cầu thang cũng thấy đau. Tình trạng cứng khớp vào buổi sáng cũng xảy ra thường xuyên hơn kèm theo các đợt viêm khớp gối (sưng, đau, tràn dịch) hoặc có biểu hiện vẹo khớp gối.

4. Giai đoạn 4: Thoái hóa khớp gối độ 4

Hình ảnh của khớp gối trên phim X-quang: Khe khớp hẹp nhiều, gai xương có kích thước lớn, đặc xương dưới sụn, đầu xương biến dạng rõ.


Thoái hóa khớp gối giai đoạn 4 là giai đoạn nặng, sụn khớp bị bào mòn

Thoái hóa khớp gối đã bước vào giai đoạn nặng, sụn khớp bị bào mòn và bong tróc gần như hoàn toàn để lộ đầu xương rõ rệt. Khoảng không gian chung giữa hai đầu xương thu hẹp đáng kể, gai xương ngày càng lớn, chất nhờn bôi trơn khớp giảm nên gây ra hiện tượng ma sát giữa hai đầu xương, gây đau nhức xương khớp nghiêm trọng. Người bệnh xuất hiện một loạt các triệu chứng đau nhức liên tục, cứng khớp, khó vận động khớp, khó đi lại… ảnh hưởng đến sinh hoạt. Theo thời gian, thoái hóa khớp gối có thể gây biến dạng khớp hoàn toàn, gây lệch trục khớp…

Các biện pháp điều trị bệnh Thoái hóa khớp gối

Trên cơ sở chẩn đoán bệnh, tùy vào mức độ bệnh để có phương pháp điều trị thích hợp.

  • Bệnh nhân cần được nghỉ ngơi, tập luyện đúng phương pháp tránh cứng khớp và teo cơ, chế độ ăn đầy đủ chất, bổ sung canxi và khoáng chất.
  • Trong trường hợp người bệnh thừa cân - béo phì cần được tư vấn và điều trị giảm cân.
  • Điều trị nội khoa trong những giai đoạn đầu: Các nhóm thuốc làm chậm quá trình thaosi hóa khớ, Tiêm huyết tương giàu tiểu cầu,…
  • Trong trường hợp bệnh nhân sau điều trị nội khoa không cải thiện, dâu hiệu lâm sàng  tăng lên thì phẫu thuật thay khớp gối là một lựa chọn tối ưu cho bệnh nhân.

    Phòng ngừa bệnh Thoái hóa khớp gối

    Để phòng ngừa bệnh thoái hóa khớp gối có các biệu pháp sau:

  • Chế độ dinh dưỡng: nên ăn các loại cá nước lạnh, những thực phẩm có chứa rất nhiều acid béo omega-3 - một loại chất kháng viêm vô cùng hiệu quả. Sử dụng thường xuyên các loại: xương ống, sườn bò, sườn bê, bổ sung luôn phiên các loại thịt heo, thịt gia cầm, tôm, cua...
  • Chế độ lao động và sinh hoạt khoa học: thường xuyên tập thể dục, tránh làm việc nặng quá sức.

 

Để được hỗ trợ cung cấp thông tin và tư vấn chi tiết, vui lòng liên hệ:

Bệnh viện Chấn thương Chỉnh hình Nghệ An

Địa chỉ: 138 Nguyễn Phong Sắc, TP. Vinh, Nghệ An (Bệnh viện Ba Lan cũ)

Hotline CSKH: 08.1664.5656

loading....