Trật khớp háng 

Huyền Đậu

1. Trật khớp háng là gì?

Trật khớp háng là tình trạng chỏm xương đùi trật ra khỏi vị trí đúng của khớp háng.

Tùy theo vị trí trật mà trật khớp háng có thể được phân thành một số nhóm sau:

  • Trật khớp về phía sau;
  • Trật khớp ra phía trước;
  • Trật khớp tại trung tâm

Trật khớp háng là loại trật khớp hiếm gặp và chỉ chiếm khoảng 5% tổng số trường hợp bị trật khớp nói chung. Tuy nhiên, trật khớp háng cần được phát hiện và điều trị kịp thời để tránh biến chứng nặng nề.

2. Nguyên nhân của trật khớp háng

Khớp háng là khớp lớn nhất, nằm sâu trong cơ thể, rất vững chắc. Phải có lực chấn thương rất mạnh thì mới gây trật khớp. Các nguyên nhân hay gặp đó là:

  • Do tai nạn giao thông: đây là nguyên nhân thường gặp nhất
  • Chấn thương thể thao: bóng đá, bóng rổ, trượt tuyết…
  • Tai nạn sinh hoạt hàng ngày
  • Bẩm sinh

Bên cạnh đó, một chuyển động bất thường hay chỉ té ngã đơn giản cũng có thể gây nên trật khớp háng ở người già, người bị loãng xương, người đã mổ thay khớp háng….

3. Triệu chứng chẩn đoán:

Nhìn

  • Thấy đùi gấp nhẹ, khép và xoay trong, chi ngắn lại. Gối bên trật lên cao hơn và như tựa lên đầu gối bên lành.
  • Dấu hiệu chung cho biết các kiểu trật:

- Các kiểu trật ra sau: Đùi khép và xoay vào trong.

- Các kiểu trật ra trước: Đùi dạng và xoay ngoài.

- Các kiểu trật lên trên (kiểu chậu, mu) đùi gấp nhẹ có dấu hiệu ngắn chi.

- Các kiểu trật xuống dưới: (Kiểu ngồi, kiểu bịt) đùi gấp nhiều, dấu hiệu ngắn chi không rõ, thậm trí chi như dài ra.

  • Qua các dấu hiệu chung đó dễ dàng thấy được dấu hiệu lâm sàng của một kiểu nào đó.
  • Tuy có nhiều kiểu trật như nêu trên nhưng thực tế trên lâm sàng kiểu phổ biến nhất là trật kiểu chậu: đùi gấp nhẹ, khép và xoay trong, chi ngắn lại. Gối bên trật lên cao hơn và như tựa lên đầu gối bên lành. Trật khớp kiểu bịt đùi dạng, xoay ngoài đùi gấp nhiều chi không ngắn mà như dài ra.

Sờ nắn và khám cơ năng

  • Khi bị trật khớp thường mất cơ năng, với kiểu chậu sờ phát hiện được mấu chuyển lớn lên cao hơn so với đường Nélaton - Roser do đó có dấu hiệu ngắn chi.

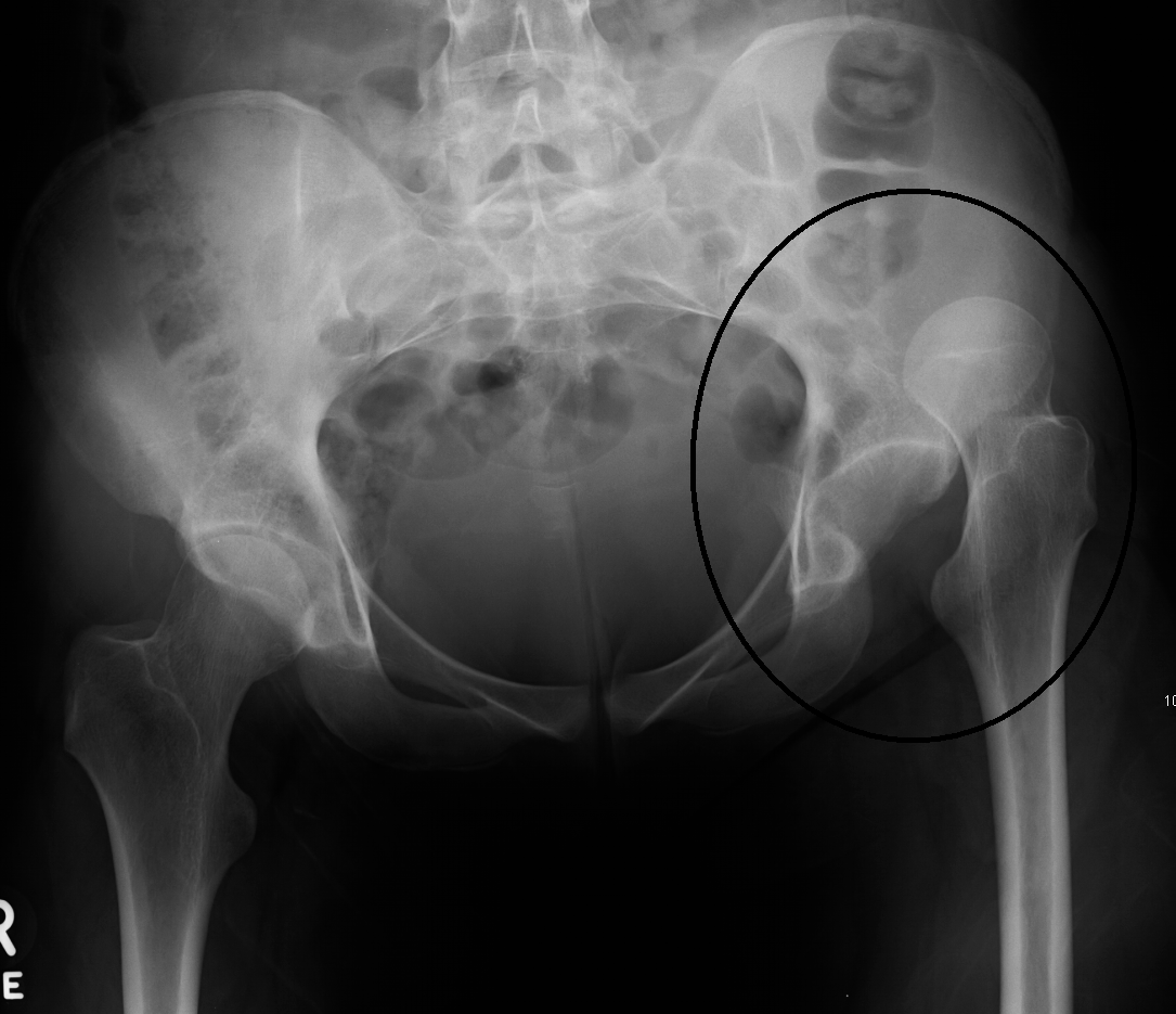
Chụp X quang

  • Cần chụp X quang xương chậu và khớp háng ở tư thế thẳng. Nếu ở hõm khớp có một bất thường nhỏ chụp tia chếch 450 ra sau vào trong để phát hiện mảnh vỡ phía sau hõm khớp.

4. Biến chứng từ trật khớp háng

Việc điều trị trật khớp háng đóng vai trò rất quan trọng, trường hợp nếu không được điều trị thì bệnh nhân có thể gặp các biến chứng sau:

  • Hoại tử chỏm xương đùi: khi bị trật khớp háng, các mạch máu cũng sẽ bị chèn ép hoặc thậm chí bị đứt. Máu lúc này không thể lưu thông đến vùng chỏm xương đùi và dần dần khu vực này sẽ bị hoại tử;
  • Thoái hóa khớp háng
  • Tổn thương các dây thần kinh: tình trạng trật khớp háng có khả năng gây căng thẳng hoặc phá hủy các dây thần kinh tại khu vực này;
  • Trật khớp háng tái hồi: các cấu trúc cố định của khớp háng sẽ bị tổn thương và khó hồi phục tốt, vì vậy khớp háng sẽ dễ bị tái phát.

5. Điều trị trật khớp háng như thế nào?

5.1. Nắn kín

Cần nắn càng sớm càng tốt, trước 12 giờ sau khi bị trật. Cần đưa chỏm xương đùi về đúng vị trí trong khớp háng.

Chỉ định điều trị bảo tồn trật khớp háng

Điều trị trật khớp háng theo phương thức bảo tồn có thể được chỉ định trong một số trường hợp như:

  • Trật khớp kín hoặc trật khớp háng sớm (dưới 3 tuần).
  • Trật khớp đơn giản (đơn thuần): không có kèm theo gãy xương vùng háng;
  • Bị trật khớp háng có kèm theo gãy xương vùng háng nhưng ít lệch;
  • Bệnh nhân không đủ điều kiện để phẫu thuật: bệnh nhân bị bệnh toàn thân nghiêm trọng hoặc có khó khăn về kinh tế/từ chối phẫu thuật...

Các trường hợp chống chỉ định điều trị bảo tồn

Điều trị bảo tồn trật khớp háng không phải luôn được chấp nhận. Trong một số trường hợp sau, bệnh nhân không được điều trị bảo tồn:

  • Tình trạng trật khớp hở, chưa được xử trí phẫu thuật;.
  • Trật khớp háng muộn (sau 3 tuần);
  • Bệnh nhân có tình trạng vỡ xương chậu nặng, gãy xương đùi – cẳng chân cùng bên háng bị trật khớp...;
  • Bệnh nhân có nhiều chấn thương ở các tạng khác, hôn mê, đa chấn thương.

5.2 Phẫu thuật

Một số trường hợp cần phẫu thuật để đặt lại khớp. Đó là:

  • Nắn không thành công
  • Tới khám muộn, quá 21 ngày, hình thành sẹo xơ, chắc
  • Có mảnh xương gãy kẹt vào khe khớp
  • Trật khớp háng kèm gãy chỏm xương đùi

6. Dự phòng

- Tuyên truyền và giáo dục trong cộng đồng về luật giao thông và lao động.

- Cần giáo dục cộng đồng sơ cứu tại chỗ và bất động tốt các trường hợp trật khớp.

- Đối với các tuyến y tế cơ sở cần chẩn đoán sớm, xử lý đúng và nắn trật khớp sớm.

- Giáo dục cho bệnh nhân tập luyện phục hồi chức năng sau điều trị.

- Giáo dục cho cộng đồng không nên xoa bóp và nắn khớp hoặc chích lễ ở các thầy lang.

Bệnh viện Chấn Thương – chỉnh hình Nghệ An là đơn vị đầu ngành trên địa bàn tỉnh nhà về chuyên ngành chấn thương chỉnh hình, quy tụ đội ngũ y bác sĩ có tiếng trong ngành, giỏi chuyên môn, giàu kinh nghiệm, có tâm và tầm giúp bệnh nhân được tiếp cận với những phác đồ điều trị mới, hiệu quả.

Để được tư vấn cụ thể vui lòng liên hệ trực tiếp Bác sĩ CKI. Nguyễn Song Duệ - Phó khoa Chi Dưới qua số điện thoại 0987 065115

 

 

loading....